10 Biện Pháp Tự Nhiên Loại Bỏ Cao Răng Và Duy Trì Sức Khỏe Răng Miệng Tại Nhà
Cao Răng Là Gì Và Tại Sao Nó Lại Nguy Hiểm?
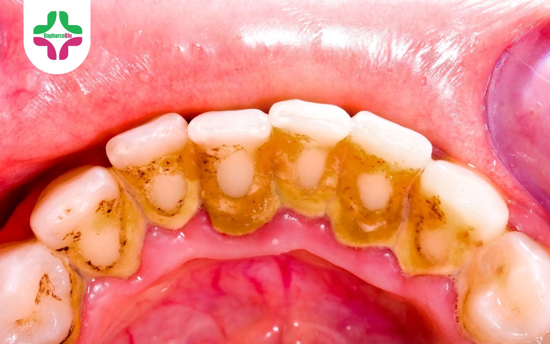
Cao răng, hay còn gọi là vôi răng, không chỉ làm mất đi vẻ đẹp tự nhiên của hàm răng mà còn gây ra nhiều vấn đề về sức khỏe răng miệng như viêm nướu, sâu răng, và thậm chí là mất răng. Cao răng hình thành khi mảng bám từ thức ăn, vi khuẩn và muối khoáng không được loại bỏ kịp thời, trở nên cứng và bám chắc vào răng. Khi không được xử lý đúng cách, cao răng có thể dẫn đến viêm nhiễm nướu và các biến chứng nghiêm trọng khác.
Tác Hại Của Cao Răng
Bạn đã từng cảm thấy xấu hổ vì hàm răng xỉn màu, hơi thở có mùi hôi, hay bị chảy máu nướu khi đánh răng? Những biểu hiện này có thể là dấu hiệu của cao răng đã tích tụ quá lâu và gây ra nhiều rắc rối cho sức khỏe răng miệng. Đặc biệt, cao răng không chỉ ảnh hưởng đến thẩm mỹ mà còn làm suy giảm chất lượng cuộc sống, khiến bạn mất đi sự tự tin trong giao tiếp hàng ngày.
Làm Thế Nào Để Loại Bỏ Cao Răng Tại Nhà?
Để loại bỏ cao răng và duy trì hàm răng khỏe mạnh, bạn không cần phải tìm đến những biện pháp đắt tiền. Với 10 phương pháp tự nhiên dưới đây, bạn có thể tự chăm sóc răng miệng ngay tại nhà một cách hiệu quả:
1. Baking Soda: Loại Bỏ Mảng Bám Và Làm Sáng Răng
Baking soda là một trong những biện pháp tự nhiên hiệu quả nhất để loại bỏ cao răng. Bạn có thể trộn một thìa cà phê baking soda với một chút muối hoặc kem đánh răng, sau đó dùng bàn chải đánh răng mềm để chải nhẹ nhàng. Cách này giúp làm sạch mảng bám và làm sáng răng, nhưng bạn chỉ nên thực hiện 2 lần mỗi tuần để tránh làm mòn men răng.
2. Lá Ổi: Ngăn Ngừa Sưng Nướu Và Loại Bỏ Cao Răng
Lá ổi có tác dụng kháng khuẩn và chống viêm, giúp giảm sưng nướu và loại bỏ mảng bám. Bạn có thể nhai vài lá ổi sạch hoặc sử dụng quả ổi chưa chín với muối để nhai hàng ngày, giúp làm sạch răng miệng hiệu quả.
3. Giấm Trắng: Kháng Khuẩn Và Ngăn Ngừa Mảng Bám
Giấm trắng có chứa axit axetic, có khả năng kháng khuẩn mạnh mẽ và giúp loại bỏ cao răng. Bạn có thể pha giấm trắng với nước và muối để súc miệng hàng ngày, giúp tiêu diệt vi khuẩn và ngăn ngừa sự tích tụ của mảng bám.
4. Vỏ Cam: Làm Sạch Và Tăng Cường Men Răng
Sử dụng vỏ cam để chà xát trực tiếp lên răng là một cách đơn giản và tiết kiệm để loại bỏ cao răng. Vỏ cam không chỉ giúp làm sạch mảng bám mà còn cung cấp vitamin C, giúp tăng cường men răng.
5. Nha Đam: Làm Dịu Nướu Và Loại Bỏ Cao Răng
Nha đam, hay còn gọi là lô hội, có đặc tính làm dịu và kháng khuẩn. Bạn có thể trộn gel nha đam với glycerin và baking soda để tạo thành hỗn hợp làm sạch răng. Chà xát hỗn hợp này lên răng hàng ngày giúp loại bỏ mảng bám và làm dịu nướu sưng tấy.
6. Bã Cà Chua: Ngăn Ngừa Vi Khuẩn Và Cao Răng
Cà chua chứa nhiều vitamin C, có tác dụng kháng khuẩn và ngăn ngừa sự tích tụ của mảng bám. Bạn có thể sử dụng bã cà chua để chà xát lên răng, giúp làm sạch và ngăn ngừa vi khuẩn.
7. Ăn Đồ Cay: Tăng Cường Sản Xuất Nước Bọt
Đồ cay giúp kích thích tuyến nước bọt hoạt động mạnh mẽ, từ đó làm sạch răng miệng và ngăn ngừa cao răng. Hãy thử nhai một ít ớt hoặc sử dụng các loại gia vị cay trong bữa ăn hàng ngày để giữ cho hàm răng luôn sạch sẽ.
8. Dùng Chỉ Nha Khoa: Loại Bỏ Mảng Bám Giữa Các Kẽ Răng
Chỉ nha khoa là công cụ không thể thiếu để làm sạch mảng bám giữa các kẽ răng mà bàn chải không thể tiếp cận được. Sử dụng chỉ nha khoa hàng ngày giúp loại bỏ mảng bám và ngăn ngừa sự tích tụ của cao răng.
9. Sử Dụng Nước Súc Miệng Kháng Khuẩn Không Cồn: Bảo Vệ Toàn Diện
Nước súc miệng kháng khuẩn không cồn giúp tiêu diệt vi khuẩn gây mảng bám và cao răng, đồng thời bảo vệ nướu răng. Súc miệng 2 lần mỗi ngày giúp duy trì hơi thở thơm mát và ngăn ngừa các vấn đề răng miệng.
10. Thăm Khám Nha Sĩ Định Kỳ: Phát Hiện Sớm Và Xử Lý Kịp Thời
Dù bạn có chăm sóc răng miệng kỹ lưỡng tại nhà, việc thăm khám nha sĩ định kỳ vẫn là điều cần thiết. Nha sĩ sẽ giúp bạn phát hiện sớm các vấn đề về răng miệng và đưa ra các biện pháp điều trị kịp thời, ngăn ngừa cao răng và các bệnh lý khác.
Bảo Vệ Sức Khỏe Răng Miệng Ngay Hôm Nay
Cao răng là nguyên nhân tiềm ẩn gây ra nhiều vấn đề sức khỏe răng miệng. Hãy bắt đầu chăm sóc răng miệng đúng cách và áp dụng ngay các biện pháp trên để giữ cho hàm răng luôn khỏe mạnh, sáng bóng và tự tin hơn trong giao tiếp hàng ngày.
--------------
HỆ THỐNG NHÀ THUỐC DAPHARCOBLU+ PHARMACY
THUỐC TỐT – GIÁ TỐT – GIAO HÀNG TẬN NHÀ
Cơ sở 1: DapharcoBlu+ Pharmacy – 2 Phan Đình Phùng, Đà Nẵng
Cơ sở 2: DapharcoBlu+ Pharmacy - 110 Trần Phú, Đà Nẵng
Cơ sở 3: DapharcoBlu Pharmacy - 11 Lê Duẩn, Đà Nẵng
Cơ sở 4: DapharcoBlu Pharmacy - 38 Cao Thắng, Bệnh viện Hải Châu, Đà Nẵng
Cơ sở 5: DapharcoBlu+ Pharmacy - FPT Plaza 2, Đà Nẵng
Hotline chăm sóc khách hàng: (0236)3 588 589
 Ngôn ngữ
								Ngôn ngữ
								 Tiếng Việt
Tiếng Việt
											 Tiếng Anh
Tiếng Anh	
											 Hàn Quốc
Hàn Quốc
											 Nhật Bản
Nhật Bản
											 Trung Quốc
Trung Quốc
											 Nga
											Nga
											 
				 
											 
											 
											 
											 
											 
											 
											 
											 
											 
											 
											 
											 
											 
											 
											 
											 
											 
											 
											 
											 
											 
											 
											 
											 
											 
											 
											 
											 
											 
											 
											 
											 
											 
											 
											 
											 
											 
											 
											 
											 
											 
											 
											





 
					
				 
					
				 
					
				 
					
				 
					
				 
		 
		 
		 
		 
		 
				 
				 
				 
				 
				 
	 
	